Formación
Haroldo Micheletti
Soy Odontólogo por la Universidad Nacional de Rosario (Mat. 2636/02) con Posgrados en Periodoncia e Implantes y Prótesis sobre implantes por la Universidad del Salvador. Fui seis años Docente del área de Clínica y estuve otros ocho trabajando en España.
Usamos la mejor Tecnología
Tratamientos
Blanqueamiento
Cirugía
Implantes
Ortodoncia
Prótesis
Estética Dental
Resultados
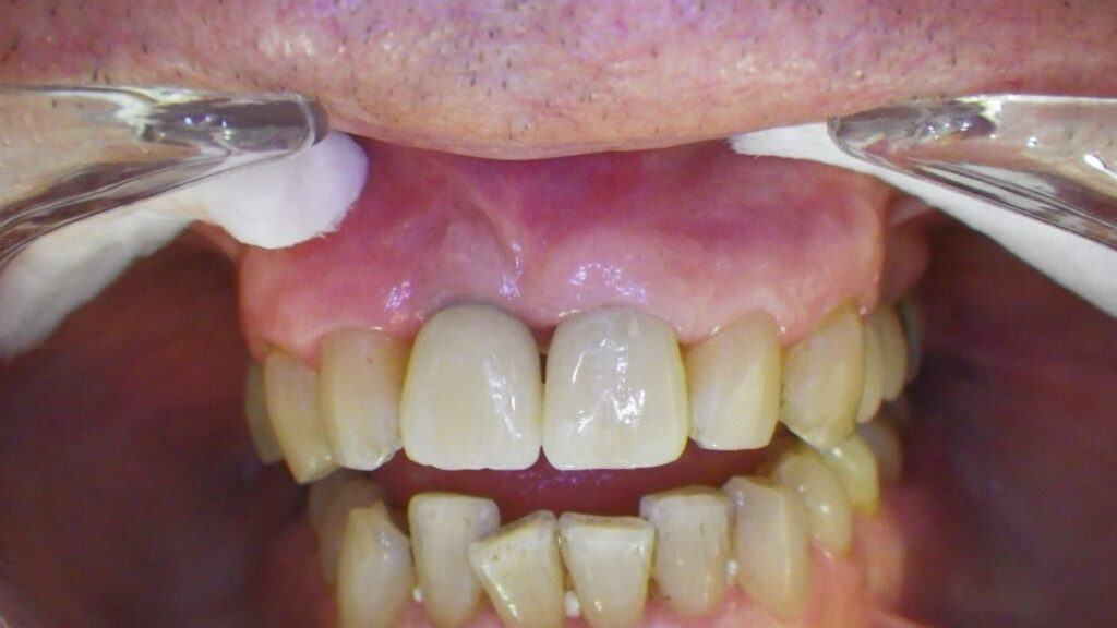
Reemplazo de corona
Reemplazo de corona
En este caso se trata de una paciente que recibió un bochazo de Hockey en la adolescencia y tuvo una prótesis fija durante más de 20 años.
Restauración de incisivos
Restauración de incisivos
Este paciente llegó al consultorio con reabsorción dentinaria (pérdida de la estructura del diente).
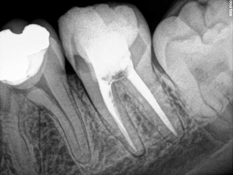
Retratamiento de conducto
Retratamiento de conducto
Estas radiografías pertenecen a una paciente que tuvo que realizarse un retratamiento de conducto.
Recomendaciones
Agendar un turno
Contacto
Dirección
San Lorenzo 1716 3° Of. C – Rosario, Argentina.
Teléfono
0341 – 421 09 09 / 3416 48-3537
contacto@odontologia.mktmedico.com.ar
Horario
Lunes a viernes: 9 a 12 y de 16 a 20 y horarios a convenir.













