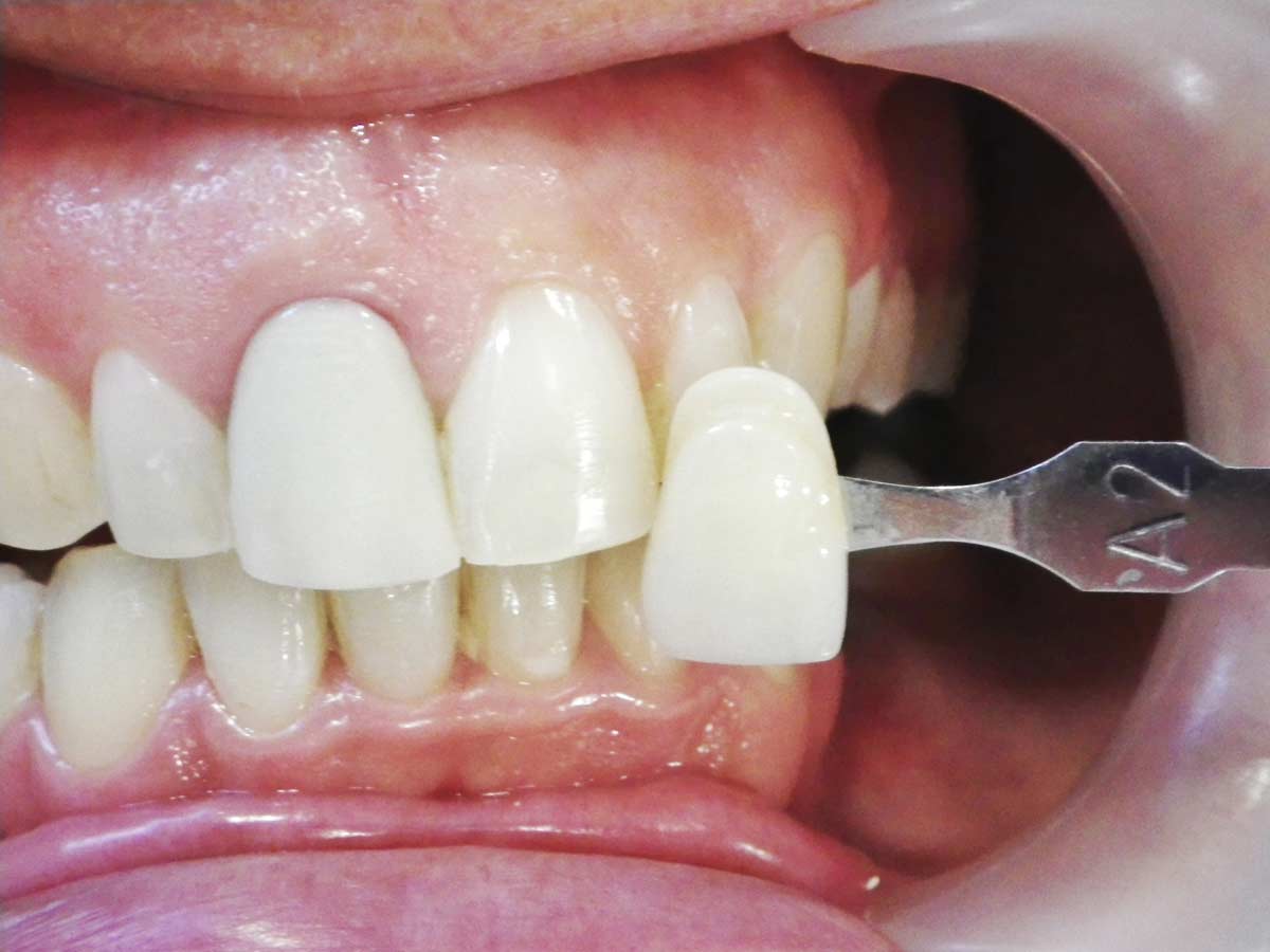
En este caso se trata de una paciente que recibió un bochazo de Hockey en la adolescencia y tuvo una prótesis fija desadaptada durante más de 20 años. No se correspondía la forma, el tamaño y el color con su diente vecino y por eso se decidió confeccionar una prótesis nueva. Este es el resultado.
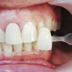
- Corona antigua junto a corona nueva
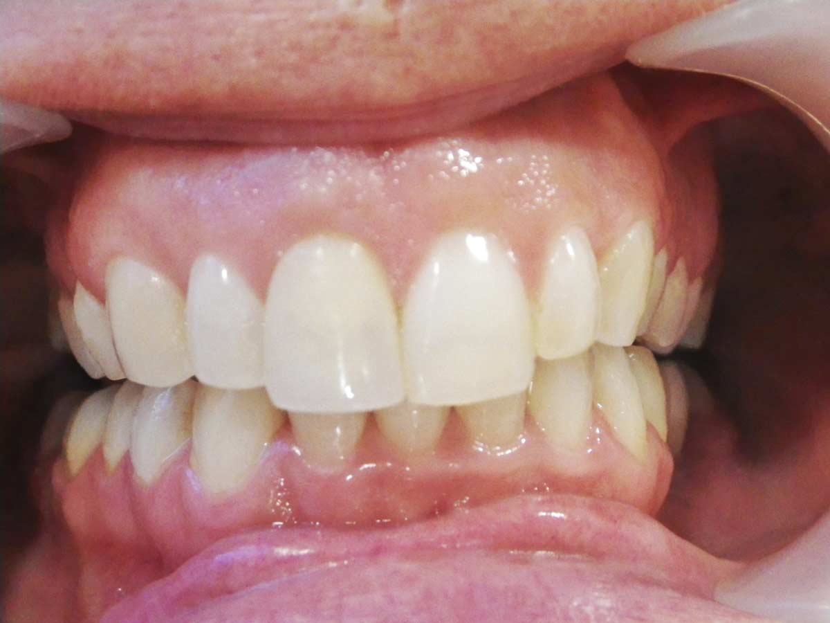
- Corona nueva colocada.






