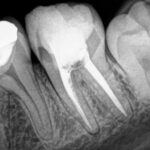
Estas radiografías pertenecen a una paciente que tuvo que realizarse un retratamiento de conducto (es decir que se tuvo que volver a hacer la endodoncia). La paciente presentaba dolor por infección y una pobre obturación con falta de instrumentación de uno de los conductos, (en este molar eran tres y solo se trataron dos y de manera insuficiente). Entonces fue necesario volver a instrumentar (trabajar) los conductos lavando y desinfectando los mismos y por último obturarlos adecuadamente.
La primera radiografía muestra como estaba al venir la paciente y la segunda el trabajo finalizado.
- Aquí puede verse el trabajo deficiente sobre las raíces.
- Aquí el trabajo finalizado con la limpieza y el obturado realizado correctamente.






