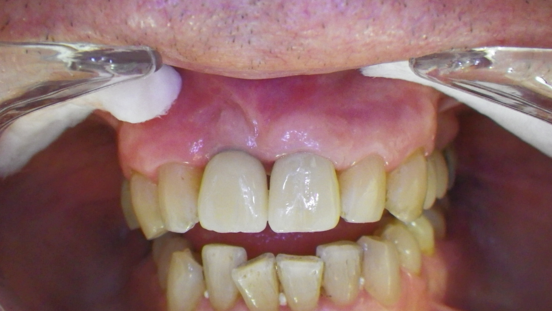
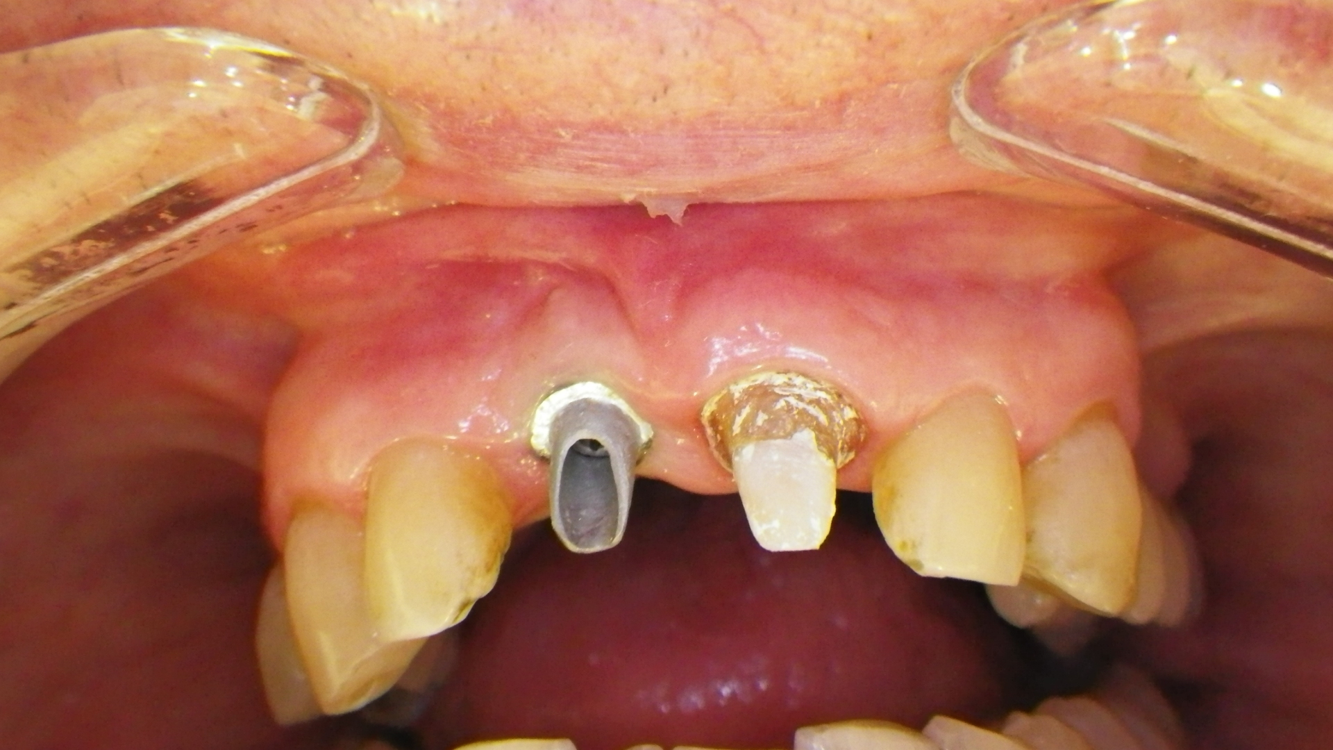
Este paciente llegó al consultorio con reabsorción dentinaria (pérdida de la estructura del diente). Por ello se le extrajo el diente, se le colocó un implante y se restauraron las piezas con coronas de cerámica pura.
Reemplazo de corona
Reemplazo de corona
En este caso se trata de una paciente que recibió un bochazo de Hockey en la adolescencia y tuvo una prótesis fija durante más de 20 años.










